Skip to content

성북구 미아사거리 치과 훈치과 월곡

연어주사 자가혈 임플란트

숙련된 의료진이 케어합니다.

2004년 부터

지역주민의 치과주치의로써..

22년의 신뢰, 변함없는 진료 철학

환자 한 분 한 분의 신뢰를 지키기 위해,
22년간의 진료 경험과 정직한 진료 원칙을 이어갑니다.

한 번도 자리를 옮기지 않고 동일한 위치에서 환자들을 진료해온 22년의 시간은 신뢰와 안정성을 보여줍니다. 꾸준히 지역 환자들과 함께하며 쌓아온 임상 경험이 곧 훈치과의 자산입니다.​

풍부한 경험을 바탕으로 정확한 진단과 맞춤형 치료를 제공합니다. 단순한 증상 완화가 아닌, 장기적인 구강 건강을 위한 근본적인 치료 방안을 제시합니다.​

디지털 엑스레이 CT 최신 진단장비, 임플란트 골유착 측정기, 엔진, 상악동 거상술 피에조 엔진 디지털 교합 분석기, 신경치료 디지털 엔진 등을 활용하여 정밀하고 안전한 치료를 시행합니다. 환자의 부담을 최소화하면서도 치료의 완성도를 높이는 시스템을 갖추고 있습니다.​

디지털 엑스레이 CT 최신 진단장비, 임플란트 골유착 측정기, 엔진, 상악동 거상술 피에조 엔진 디지털 교합 분석기, 신경치료 디지털 엔진 등을 활용하여 정밀하고 안전한 치료를 시행합니다. 환자의 부담을 최소화하면서도 치료의 완성도를 높이는 시스템을 갖추고 있습니다.​

25년차 서울대 출신의 보철과 전문의

전체임플란트와 심미보철, 25년의 경험으로 완성합니다​

서울대 출신 보철과 전문의 김일장 원장의 직접 진료. 22년간 변함없이 환자와 함께해온 신뢰, 상위 1% 치과의사의 손길에서 새로운 차원의 결과가 시작됩니다.

김일장 원장의 핵심진료

전체임플란트

심미보철

전악 임플란트, 하루의 변화가 아닌 10년의 건강을 설계합니다

프리미엄 임플란트와 교합 분석
→ 장기적 안정성과 편안한 저작 기능을 완성합니다.
임플란트 8/10개 식립

맞춤 보철 12/14개 완성!

임상경력
0 +
환자 만족도
0 %
주치의 의견
임상증례

“전체임플란트는 단순히 많은 임플란트를 심는 수술이 아니라, 오래 씹히는 보철을 만드는 전과정입니다. 뼈와 잇몸, 교합, 생활 습관까지 모두 설계에 포함되어야 장기 결과가 좋습니다.”

전체임플란트는 많은 치아를 잃어 일상적인 식사가 힘들거나, 틀니의 불편함 때문에 고정식 보철을 원하는 분들께 권장되는 치료입니다. 보통 8~10개의 임플란트를 식립해 12~14개의 치아를 회복하기 때문에, 단단한 음식도 편안하게 드실 수 있고 미소 또한 자연스럽게 되찾을 수 있습니다. 치료 과정에서는 뼈가 부족한 부위에 환자 본인의 혈액에서 추출한 성분을 활용한 연어주사를 적용하여 회복 속도를 높이고, 부작용 위험을 줄이는 데 도움을 드립니다.

또한 저희는 단순히 임플란트를 심는 것에서 그치지 않고, 정밀한 교합 치료를 통해 환자분의 저작 습관과 턱관절 상태를 세밀하게 분석합니다. 교합을 올바르게 맞추어야 장기적으로 임플란트가 안정적으로 유지되고, 치아와 잇몸에 불필요한 부담이 가지 않습니다. 이렇게 기능과 심미, 그리고 편안함을 모두 고려한 전체임플란트는 환자분께 오랫동안 편안한 식사와 자신 있는 미소를 선사합니다. - 25년차 서울대 출신 보철과 전문의 김일장 원장

미아사거리 전체임플란트 전후

오랜 기간의 심한 치주염과 반복적 치아 파절로 통증·저작 장애가 심해진 환자분입니다. 보존 가능성을 충분히 평가한 뒤, 정밀 CT와 구강스캔을 바탕으로 상악 전체임플란트를 계획했습니다. 염증 치아를 단계적으로 정리하고 감염을 제어한 후 디지털 가이드로 안전하게 식립했습니다.

수술 과정에서 회복을 돕기 위해 자가혈/연어주사 등을 적용했고, 임시 보철로 적응 기간을 거친 뒤 최종 보철을 장착했습니다. 이후 정밀한 교합 조정으로 씹는 힘을 균형 있게 분산시켜 편안한 저작과 자연스러운 발음을 확보했습니다. 현재 환자분은 일상 식사가 한결 편해졌으며 심미적으로도 만족도가 높습니다. (개인 상태에 따라 계획·기간·결과는 달라질 수 있습니다.)

전체임플란트 진행과정

전국에서 훈치과를 찾아주시는 이유

22년 한 자리에서

임플란트 집중 클리닉 운영

25년차 전담주치의

풍부한 임상 경험과 노하우로
안전하고 정밀한 임플란트를 제공합니다.

자가혈 뼈이식 & 연어주사 치료

환자 본인의 혈액 성분과 연어 단백질을 활용해
잇몸·뼈 재생을 촉진하고 시술 후 회복을 앞당깁니다.

정밀한 임플란트 교합 치료

디지털 장비와 임상데이터 기반으로
편안한 저작과 장기적인 안정성을 완성합니다.

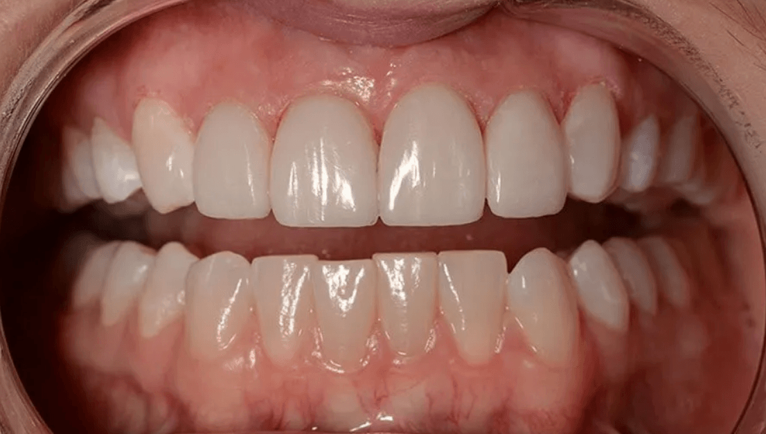
보철과 전문의의 최적의 스마일 디자인

프리미엄 소재와 정밀 심미보철
→ 기능과 심미를 동시에 회복합니다.
까다로운 미적기준으로

최적의 미소를

임상경력
0 +
환자 만족도
0 %

25년차 보철과 전문의가

까다로운 기준으로 세심하게 치료합니다.

최소삭제 라미네이트

풍부한 임상 경험과 노하우로
안전하고 정밀한 임플란트를 제공합니다.

올세라믹 크라운

환자 본인의 혈액 성분과 연어 단백질을 활용해
잇몸·뼈 재생을 촉진하고 시술 후 회복을 앞당깁니다.

레이저 화이트닝

디지털 장비와 임상데이터 기반으로
편안한 저작과 장기적인 안정성을 완성합니다.

심미보철

en_USEnglish